Rediscover Your CONFIDENCE
At SOCO Dental Studio, every smile tells a story. Our patients come from all walks of life — families, professionals, retirees — but they all have one thing in common: a desire to feel proud of their smile.
Led by Dr. Michael Louie, our team takes a personalized, artistic approach to cosmetic and restorative treatments, creating subtle yet stunning transformations backed by skill, empathy, and experience.
Schedule a consultation today and see what’s possible for your smile.

before

after

Root Canal
Patient had a failing root canal that resulted in her front lateral to be removed. Implant was placed by the Oral Surgeon. Patient was always unhappy about color and shape of teeth and decided to have her front 6 teeth worked on for a smile makeover. 5 veneers and 1 implant crown later, patient is smiling with confidence more than ever! Fun fact, our patient is actually a dentist so making it look perfect was key!
before
.webp)
after
.webp)
Two Implant Crowns and Veneers
Patient presented with a single canine and a peg lateral incisor (small tooth). Patient had orthodontics to move the canine into position and received two implants placed in the canine position. Two implant crowns and veneers on the lateral/natural canine were performed with Zoom Whitening to match the central incisors
before

after

6 crowns on upper
After years of neglect, patient had severely worn front teeth causing an open bite from GERD. She also had cavities on her front teeth. With a combination of 6 beautiful veneers we were able to give back her smile she once had!
before

after
.webp)
4 Veneers
Patient did not like composite bonding and her worn down teeth. We decided to add composite bonding on the canines to fix the chipping and 4 veneers on the front to create a more youthful smile.
before
.webp)
after

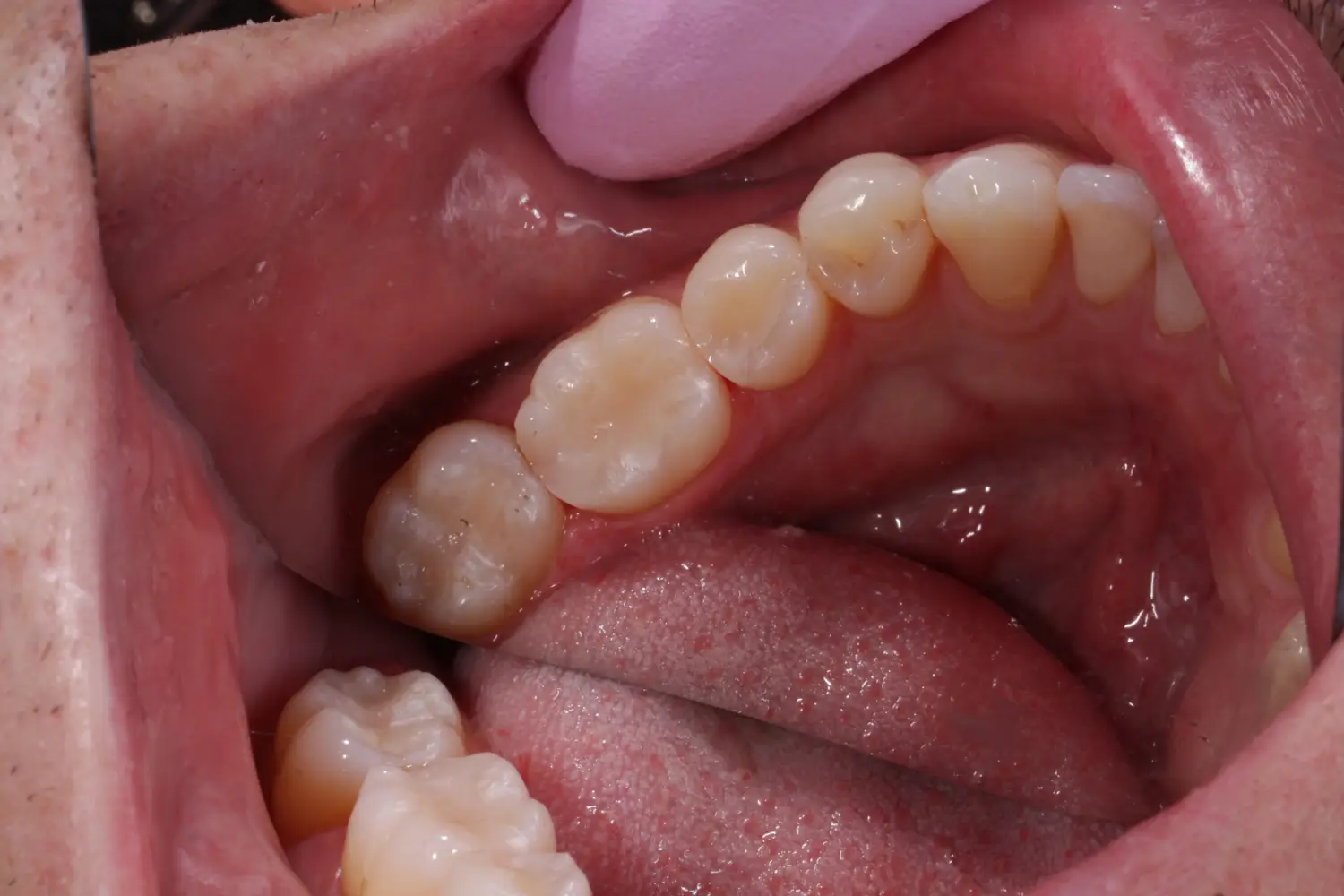
Resin Composites
Resin Composites were used to fix decay on lower back teeth. Shade matching was used to create natural looking fillings without any amalgam.
before

after

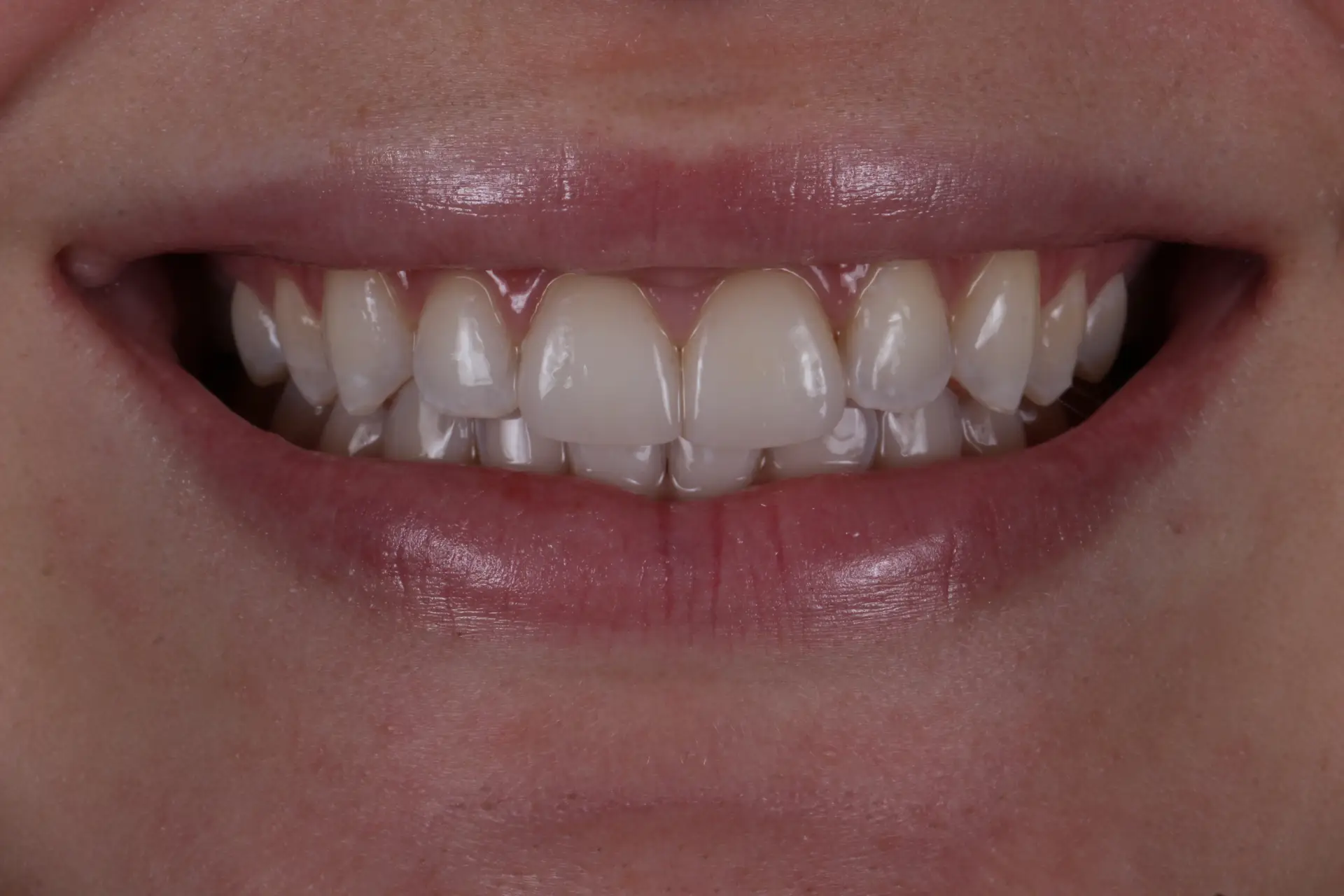
2 Veneers
Patient had chipped front two teeth in a sports accident. We decided 2 veneers would create a harmonious and natural smile. Patient was so happy!
before

after
.webp)
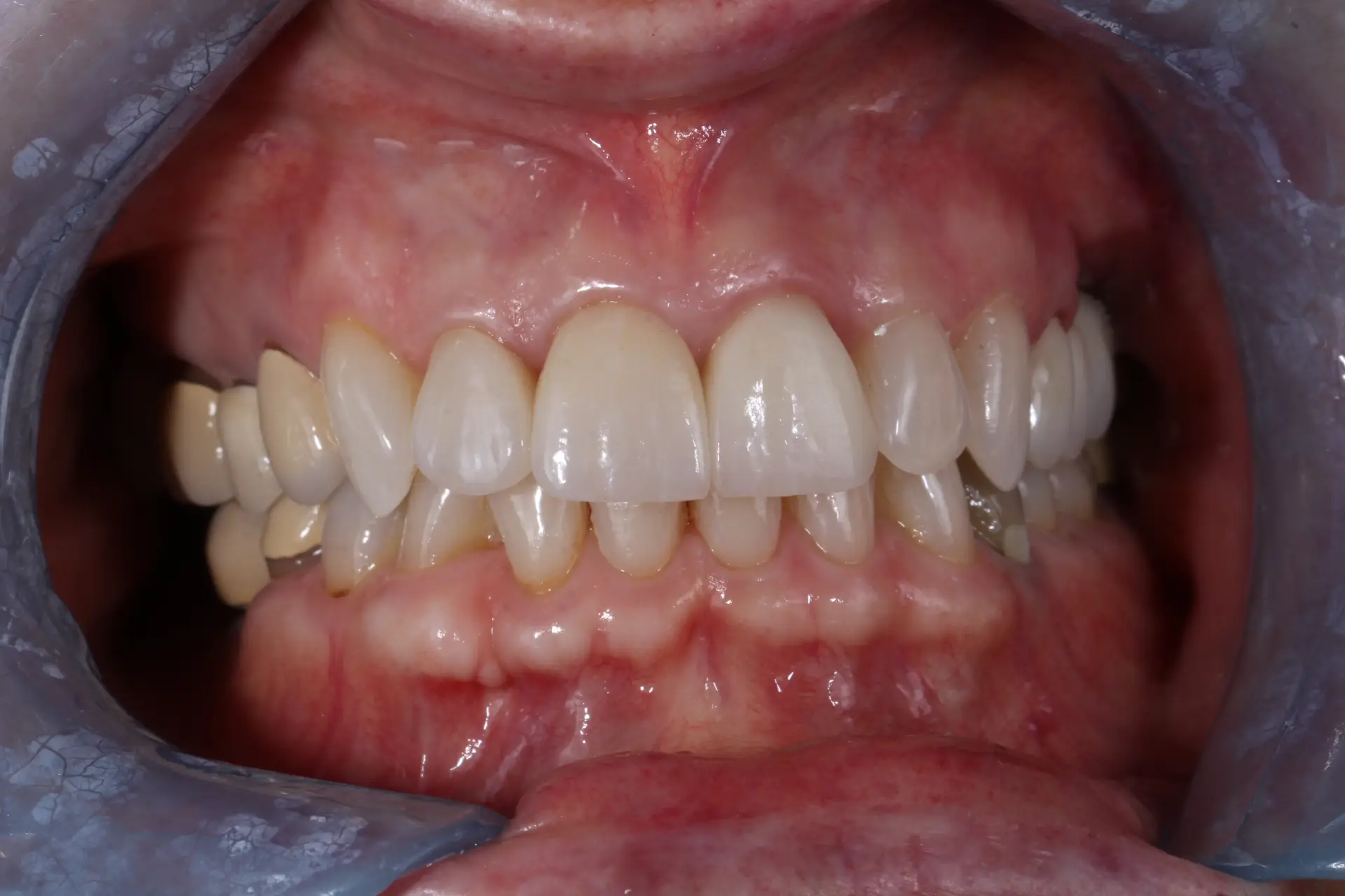
16 crowns/veneers
Patient was unhappy about smile. He had composite bonding on his teeth that were failing, worn front teeth, and spaces. Patient did not want to go through invisalign or orthodontics. We were able to successfully correct his spacing and old failing composites with a combination of 8 upper and 8 lower crowns/veneers.
before

after

Upper Left Implants
Patient presented with a failing bridge on the upper left. After discussion, patient decided on 3 implants to restore her upper left teeth. After implant surgery and digital scanning - We were successfully able to restore back her teeth giving her a fuller smile.
.webp)